#Easy #Fast #Mouldable
LEGO Graft

Q1. LEGO Graft가 뭘까요?
"입자형 골이식재" 와는 달리 미리 블록 형태로 만들어진 콜라겐 함유 이식재에요.
Q2. LEGO Graft는 무엇으로 만들어졌나?
주 성분은 더 그라프트라는 돼지 유래 이종골입니다.
여기에 돼지 유래 콜라겐 type I을 10% 첨가하여 형태를 미리 잡아서 블록 모양으로 만든 재료에요.
우리 잇몸은 주로 type 1과 3으로 구성이 되어있으니 우리 잇몸과 바로 조화가 될 수 있는 재료겠죠?

Q3. LEGO Graft는 어떤 사이즈가 있나?

다양한 사이즈로 구비되어 있으니 아래와 같이 증례에 맞게 사용이 가능해요!

ZERO (TCB-05 /5*5*5mm) - 치주 결손부 골이식술이나 전치부/소구치부 iGBR
ONE (TCB-01 /7*7*7mm) - 구치부 iGBR
TWO (TCB-02 /8*9*10mm) - 구치부 폭탄 맞은 결손부 iGBR
THREE (TCB-03 /10*11*12mm) - 엄청난 결손부에서 사용
Q4. 이거 정말 뼈로 잘되나요?

이종골 중에서는 탈단백 우골의 이식재가 가장 오래된 근거를 가지고 있고 임상에서도 좋은 결과를 보이고 있습니다.
하지만, 돼지 유래의 골이식재 역시 많은 임상 연구들을 통해서 좋은 결과를 보이고 있으며
무엇보다 인체 유사성이 매우 높기 때문에 생체 친화도가 뛰어나답니다.
가성비는 말로 할 수 없구요!

조직 결과를 보여드리면 좀 더 신뢰가 가시겠죠?
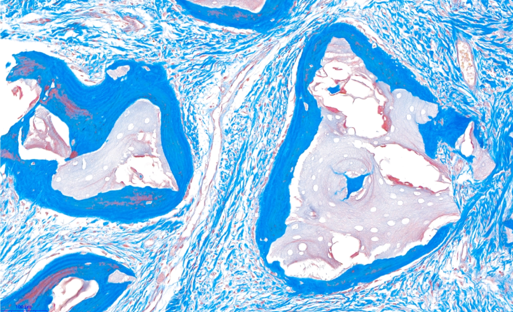
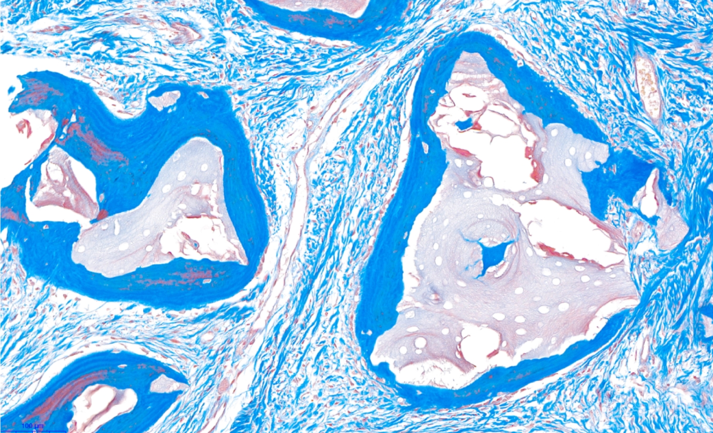
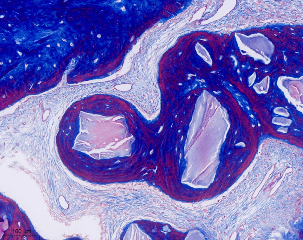
✔ 아래 조직 사진은 4개월 뒤 조직 채득 소견이에요.
여기서 진한 파란색은 새로 만들어진 골이고
파란색이 둘러싸고 있는 조각 모양의 분홍색 영역이 이식 후 4개월 뒤 잔존 이식재의 모습입니다.
이식재와 신생골이 아주 자연스럽게 혼화되어 있고 이식재를 신생골이 잘 둘러싸고 있는 것이 보이죠?

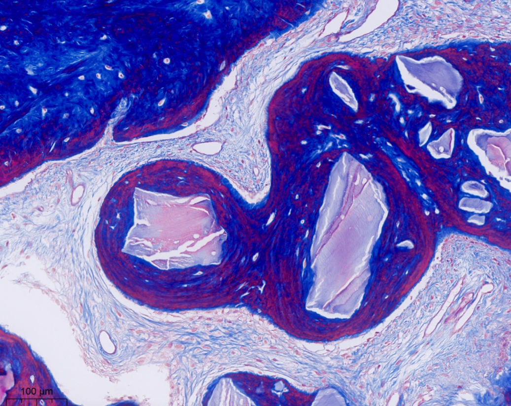
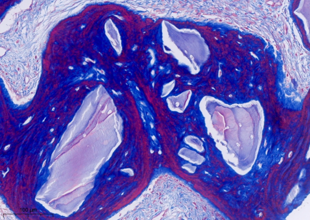
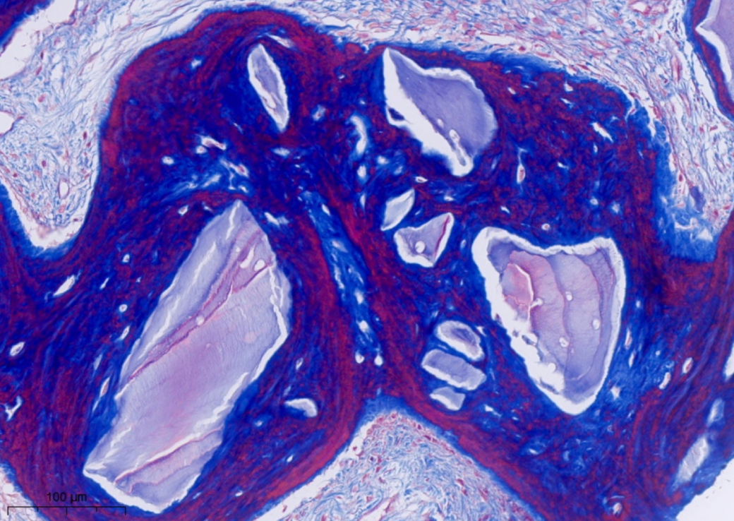
✔ 아래 사진은 6개월 조직 사진이에요.
이때 신생골의 광화도가 증가하여 더 진한 파란색과 붉은색이 보이기 시작해요.
흔히 말하는 lamellation이 보이며 골의 성속도가 증가하기 시작했어요.

좀 더 자세히 볼까요? 이식재와 신생골의 친화도가 몹시 뛰어난 것을 볼 수 있어요!

✔ 자! 이 정도면 믿고 사용하실 수 있으시겠죠?
Q6. 어떻게 사용하는게 가장 좋을까요?
일단 골벽 외부에 수직골 증강과 같은 블록골 형태로 사용하시기에는 좀 어려움이 있으실거에요. 저희의 경험에 따르면 부피 감소가 분명 있었거든요.
그래서 저희는 되도록 bony housing 내부로 적용을 권장 합니다.
Q7. 제일 많이 쓰는 indication은 아래와 같아요!
✔ 발즉 후 gap filling / ✔ iGBR / ✔ 차폐막으로 덮어주는 일반적 GBR

배송/교환/반품 안내
구매/배송안내
※ 상품결제정보
◈ 고액결제의 경우 안전을 위해 카드사에서 확인전화를 드릴 수도 있습니다.
◈ 확인과정에서 도난 카드의 사용이나 타인 명의의 주문등 정상적인 주문이 아니라고 판단될 경우 임의로 주문을 보류 또는 취소할 수 있습니다.
◈ 무통장 입금은 상품 구매 대금은 PC뱅킹, 인터넷뱅킹, 텔레뱅킹 혹은 가까운 은행에서 직접 입금하시면 됩니다.
◈ 주문시 입력한 입금자명과 실제입금자의 성명이 반드시 일치하여야 하며, 7일 이내로 입금을 하셔야 하며 입금되지 않은 주문은 자 동취소 됩니다.
※ 배송정보
◈ 택 배 사: 한진택배
◈ 배송 방법 : 택배 배송 지역 : 전국지역
◈ 배송 비용 : 무료
◈ 배송 기간: 3~7일
◈ 배송 안내 : 산간벽지나 도서지방은 별도의 추가금액을 지불하셔야 하는 경우가 있습니다. 고객님께서 주문하신 상품은 입금 확인 후 배송해 드립니다.
◈ 다만, 상품종류에 따라서 상품의 배송이 다소 지연될 수 있습니다.
교환/반품/환불이 가능한 경우
◈ 상품이 제공된 정보와 내용이 다른 경우, 하자/불량 또는 고객 단순 변심(미개봉 상품만 해당)의 경우, 제품 수령일 기준 7일 이내에만 교환 및 반품이 가능합니다.
단, 단순 변심으로 인한 반품/교환 시, 발생하는 배송비는 소비자 부담입니다.
◈ 교환의 경우 동일 상품으로 1:1 교환은 가능하나 다른 상품 또는 다른 사이즈로의 교환은 불가합니다.
◈ 교환/반품 진행 시, 반드시 택배 박스에 포장 후 배송 처리 부탁드립니다.
※ 다음과 같은 사유로는 교환/반품이 불가능합니다.
◈ 포장을 개봉하였거나 포장이 훼손되어 상품 가치가 상실된 경우
◈ 고객님의 사용 또는 일부 소비에 의하여 상품의 가치가 현저히 감소한 경우
◈ 시간의 경과에 의하여 재판매가 곤란할 정도로 상품 등의 가치가 현저히 감소한 경우
◈ 이벤트 및 사은품 등 서비스 개념으로 추가 증정된 상품의 경우
#Easy #Fast #Mouldable
LEGO Graft

Q1. LEGO Graft가 뭘까요?
"입자형 골이식재" 와는 달리 미리 블록 형태로 만들어진 콜라겐 함유 이식재에요.
Q2. LEGO Graft는 무엇으로 만들어졌나?
주 성분은 더 그라프트라는 돼지 유래 이종골입니다. 여기에 돼지 유래 콜라겐 type I을 10% 첨가하여 형태를 미리 잡아서 블록 모양으로 만든 재료에요.
우리 잇몸은 주로 type 1과 3으로 구성이 되어있으니 우리 잇몸과 바로 조화가 될 수 있는 재료겠죠?

Q3. LEGO Graft는 어떤 사이즈가 있나?
다양한 사이즈로 구비되어 있으니 아래와 같이 증례에 맞게 사용이 가능해요!

ZERO (TCB-05 /5*5*5mm) - 치주 결손부 골이식술이나 전치부/소구치부 iGBR
ONE (TCB-01 /7*7*7mm) - 구치부 iGBR
TWO (TCB-02 /8*9*10mm) - 구치부 폭탄 맞은 결손부 iGBR
THREE (TCB-03 /10*11*12mm) - 엄청난 결손부에서 사용
Q4. 이거 정말 뼈로 잘되나요?

이종골 중에서는 탈단백 우골의 이식재가 가장 오래된 근거를 가지고 있고 임상에서도 좋은 결과를 보이고 있습니다.
하지만, 돼지 유래의 골이식재 역시 많은 임상 연구들을 통해서 좋은 결과를 보이고 있으며 무엇보다 인체 유사성이 매우 높기 때문에 생체 친화도가 뛰어나답니다. 가성비는 말로 할 수 없구요!
조직 결과를 보여드리면 좀 더 신뢰가 가시겠죠?
✔ 아래 조직 사진은 4개월 뒤 조직 채득 소견이에요.
여기서 진한 파란색은 새로 만들어진 골이고 파란색이 둘러싸고 있는 조각 모양의 분홍색 영역이 이식 후 4개월 뒤 잔존 이식재의 모습입니다.
이식재와 신생골이 아주 자연스럽게 혼화되어 있고 이식재를 신생골이 잘 둘러싸고 있는 것이 보이죠?

✔ 아래 사진은 6개월 조직 사진이에요.
이때 신생골의 광화도가 증가하여 더 진한 파란색과 붉은색이 보이기 시작해요. 흔히 말하는 lamellation이 보이며 골의 성속도가 증가하기 시작했어요.

좀 더 자세히 볼까요? 이식재와 신생골의 친화도가 몹시 뛰어난 것을 볼 수 있어요!

✔ 자! 이 정도면 믿고 사용하실 수 있으시겠죠?
Q6. 어떻게 사용하는게 가장 좋을까요?
일단 골벽 외부에 수직골 증강과 같은 블록골 형태로 사용하시기에는 좀 어려움이 있으실거에요. 저희의 경험에 따르면 부피 감소가 분명 있었거든요.
그래서 저희는 되도록 bony housing 내부로 적용을 권장 합니다.
Q7. 제일 많이 쓰는 indication은 아래와 같아요!
✔ 발즉 후 gap filling / ✔ iGBR / ✔ 차폐막으로 덮어주는 일반적 GBR

배송/교환/반품 안내
구매/배송안내
※ 상품결제정보
◈ 고액결제의 경우 안전을 위해 카드사에서 확인전화를 드릴 수도 있습니다.
◈ 확인과정에서 도난 카드의 사용이나 타인 명의의 주문등 정상적인 주문이 아니라고 판단될 경우 임의로 주문을 보류 또는 취소할 수 있습니다.
◈ 무통장 입금은 상품 구매 대금은 PC뱅킹, 인터넷뱅킹, 텔레뱅킹 혹은 가까운 은행에서 직접 입금하시면 됩니다.
◈ 주문시 입력한 입금자명과 실제입금자의 성명이 반드시 일치하여야 하며, 7일 이내로 입금을 하셔야 하며 입금되지 않은 주문은 자 동취소 됩니다.
※ 배송정보
◈ 택 배 사: 한진택배
◈ 배송 방법 : 택배 배송 지역 : 전국지역
◈ 배송 비용 : 무료
◈ 배송 기간: 3~7일
◈ 배송 안내 : 산간벽지나 도서지방은 별도의 추가금액을 지불하셔야 하는 경우가 있습니다. 고객님께서 주문하신 상품은 입금 확인 후 배송해 드립니다.
◈ 다만, 상품종류에 따라서 상품의 배송이 다소 지연될 수 있습니다.
교환/반품/환불이 가능한 경우
◈ 상품이 제공된 정보와 내용이 다른 경우, 하자/불량 또는 고객 단순 변심(미개봉 상품만 해당)의 경우, 제품 수령일 기준 7일 이내에만 교환 및 반품이 가능합니다.
단, 단순 변심으로 인한 반품/교환 시, 발생하는 배송비는 소비자 부담입니다.
◈ 교환의 경우 동일 상품으로 1:1 교환은 가능하나 다른 상품 또는 다른 사이즈로의 교환은 불가합니다.
◈ 교환/반품 진행 시, 반드시 택배 박스에 포장 후 배송 처리 부탁드립니다.
※ 다음과 같은 사유로는 교환/반품이 불가능합니다.
◈ 포장을 개봉하였거나 포장이 훼손되어 상품 가치가 상실된 경우
◈ 고객님의 사용 또는 일부 소비에 의하여 상품의 가치가 현저히 감소한 경우
◈ 시간의 경과에 의하여 재판매가 곤란할 정도로 상품 등의 가치가 현저히 감소한 경우
◈ 이벤트 및 사은품 등 서비스 개념으로 추가 증정된 상품의 경우
관련 상품
간편결제 가능


