Better Graft
임상 전문가 박정철, 정재욱이 자신있게
권하는 IGBR 추천템 콜라겐 매트릭스
🚨 Better Graft 10 x 10 / 10 x 20 배송 지연 안내 🚨
Better Graft 주문량 증가로 인해 준비된 재고가 모두 소진되었습니다.
🚨4/16 입고 예정🚨으로,
➡️16일 주문건은 17일 바로 출고 가능합니다.
해당 제품은 주문 순서에 따라 순차적으로 배송될 예정입니다.
구매에 참고 부탁드립니다.🙏🏻
간편결제 가능비공개
택배 · 기본 무료
간편결제 가능🚨Better Graft 4/16 입고 예정🚨으로,
➡️16일 주문건은 17일 바로 출고 가능합니다.
임상 전문가 박정철, 정재욱이 자신있게 권하는
Better Graft
Q1. Better Graft가 뭘까요?
Better Graft 를 설명드리자면 먼저 3차원 콜라겐 매트릭스에 대한 설명이 필요할 것 같아요.
3차원 콜라겐 매트릭스는 콜라겐 성분의 차페막으로 전세계를 평정한 제품입니다.
특히 연조직 처치에 특화된 장점을 가지고 있습니다.

문제는 가격,
높은 가격의 치과재료를 대체할 수 있는 가성비의 제품이 없을까? 라는 고민이 이어지던 중
돼지 심막을 활용한 가성비의 제품 #베러그래프트 가 출시되게 되었습니다.
Q2. Better Graft는 무엇으로 만들어졌나요?
원래 초창기 Graft는 소의 인대에서 추출한 Collagen을 사용했습니다.
하지만, 뻣뻣한 느낌 때문에 Openhealing 에는 적합하지 않았습니다.
따라서 돼지 심막을 활용하여 만들어지게 되었습니다.

Better Graft는 돼지 심막 Collagen Type 1을 이용하여 성근 조직을 의도적으로 만들었습니다.
거대한 3차원 골격을 만들었기 때문에 혈관들이 빨리 자라들어올 수 있는 공간이 존재 합니다.
바로 연조직을 만들어 주는 좋은 멍석을 깔아준 셈입니다.
Q3. Better Graft 사이즈는 어떻게 되나요?


사이즈는 10X10 , 10X20mm 두가지 입니다.
발치와에 적용할 시 정사각형 모양을 살짝만 다듬어서 사용해주시면 됩니다.
굳이 정확하게 잘라낼 필요는 없습니다!
어짜피 수화되고 나면 말랑해지면서 손쉽게 조작이 가능해 발치와 내에 지긋이 밀어넣어 사용하면 됩니다.

단, 여기서 중요한 것은 두께!
기존 제품은 약 3mm두께 입니다. 아무래도 두껍고 조작하는데 부담이 있습니다.
이런 문제점을 극복하고자 조작성이 가장 좋은 2.5mm의 특별버전을 출시했습니다.
조작도 편하고 오픈힐링의 치유도 빠르다는 장점이 있습니다.
Q4. Better Graft 는 어떻게 사용되나요?
첫 번째, 치근피개술이 가능하다.
점막 하방에 넣어서 연조직의 두께와 질을 증가 시키는 방법입니다.
이것은 마치 Connective Tissue 를 이식한 것과 같은 비슷한 컨셉입니다.
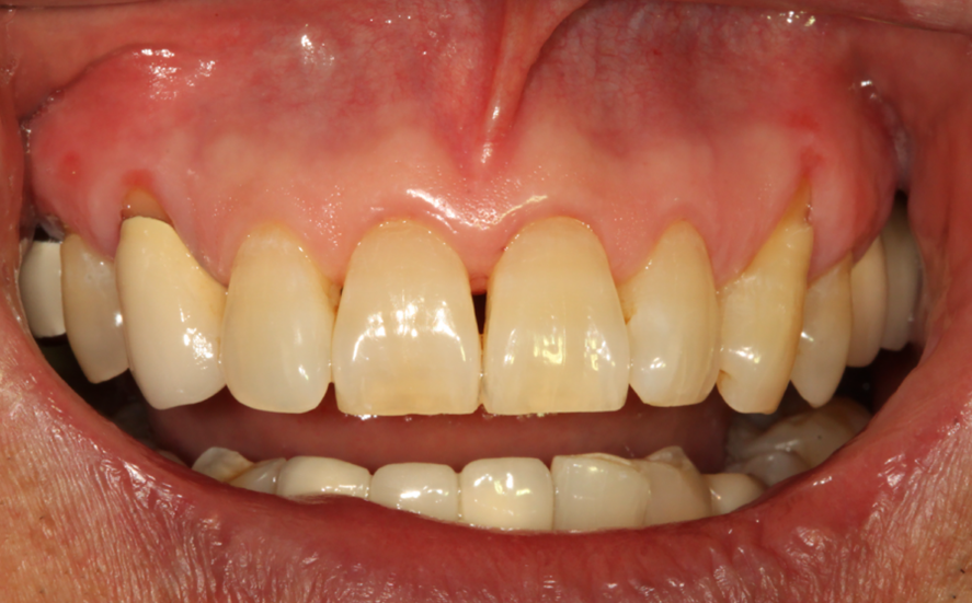
#23 치아의 심한 치은 퇴축이 관찰됩니다.

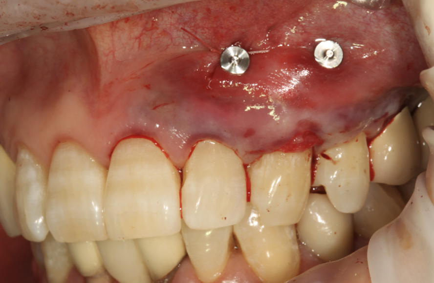
Better graft를 사용하여 핀업 (Pin up) 수술로 치근피개술을 진행했습니다.

술후 4일차. 오픈 힐링 된 부분이 Better graft 입니다.
자세히 보시면 노출되어 있지만 핑크색 부분이 빠른 혈관화가 진행 되고 있는 모습입니다.

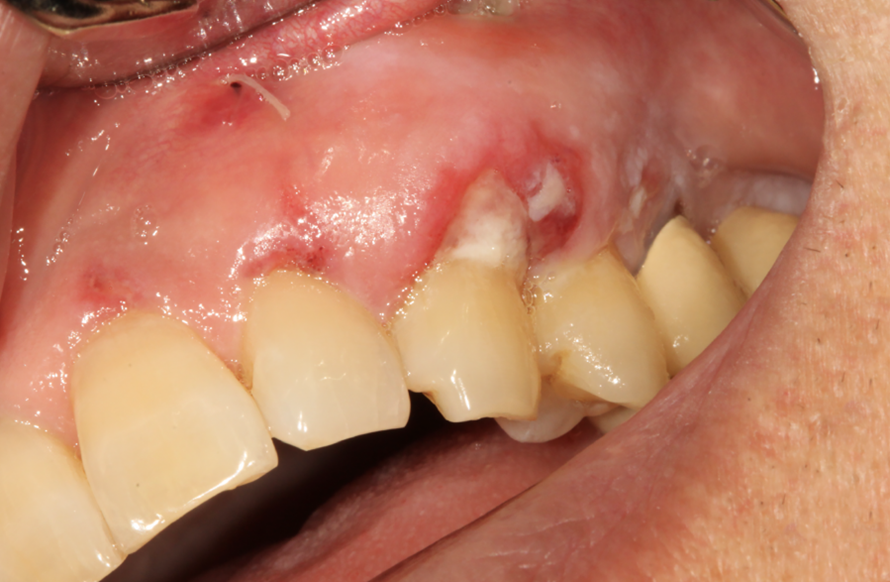
보시는 사진과 같이 불과 1주일 후, 믿어지지 않는 치은 재생이 일어납니다.
두 번째, Open healing에서 특화
두 번째 방법은 의도적으로 노출 시키는 방법입니다.

iGBR 오픈 힐링 모습입니다.

Hidden X suture 한 상태입니다.

불과 10일 만에 빠른 상피화가 일어났습니다.
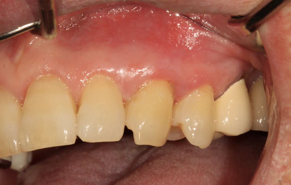
볼륨은 다소 부족할 수 있지만, 이 부분은 2-3개월 뒤면 두꺼운 치은으로 재생됩니다.

조직을 통해서 살펴보면 유달리 많은 모세혈관들이 관찰 됩니다.
바로 오픈 힐링이 가능한 이유 입니다.
베러 그라프트로 들어온 빠른 혈관화들이 연조직의 빠른 재생을 돕는 거죠.
제일 많이 사용하는 indication 은 다음과 같아요!

✨수달 박정철 교수님✨ 의 [수영장] - Better Graft 케이스별 유튜브
(제목 클릭하시면 유투브 영상으로 이동합니다)
🔗 1. iGBR후 상부 피개
🔗 4.치근피개술
🔗 5.각화치은증강술
배송/교환/반품 안내
구매/배송안내
※ 상품결제정보
◈ 고액결제의 경우 안전을 위해 카드사에서 확인전화를 드릴 수도 있습니다.
◈ 확인과정에서 도난 카드의 사용이나 타인 명의의 주문등 정상적인 주문이 아니라고 판단될 경우 임의로 주문을 보류 또는 취소할 수 있습니다.
◈ 무통장 입금은 상품 구매 대금은 PC뱅킹, 인터넷뱅킹, 텔레뱅킹 혹은 가까운 은행에서 직접 입금하시면 됩니다.
◈ 주문시 입력한 입금자명과 실제입금자의 성명이 반드시 일치하여야 하며, 7일 이내로 입금을 하셔야 하며 입금되지 않은 주문은 자 동취소 됩니다.
※ 배송정보
◈ 택 배 사:한진택배
◈ 배송 방법 : 택배 배송 지역 : 전국지역
◈ 배송 비용 : 무료
◈ 배송 기간: 3~7일
◈ 배송 안내 : 산간벽지나 도서지방은 별도의 추가금액을 지불하셔야 하는 경우가 있습니다. 고객님께서 주문하신 상품은 입금 확인 후 배송해 드립니다.
◈ 다만, 상품종류에 따라서 상품의 배송이 다소 지연될 수 있습니다.
교환/반품/환불이 가능한 경우
◈ 상품이 제공된 정보와 내용이 다른 경우, 하자/불량 또는 고객 단순 변심(미개봉 상품만 해당)의 경우, 제품 수령일 기준 7일 이내에만 교환 및 반품이 가능합니다.
단, 단순 변심으로 인한 반품/교환 시, 발생하는 배송비는 소비자 부담입니다.
◈ 교환의 경우 동일 상품으로 1:1 교환은 가능하나 다른 상품 또는 다른 사이즈로의 교환은 불가합니다.
◈ 교환/반품 진행 시, 반드시 택배 박스에 포장 후 배송 처리 부탁드립니다.
※ 다음과 같은 사유로는 교환/반품이 불가능합니다.
◈ 포장을 개봉하였거나 포장이 훼손되어 상품 가치가 상실된 경우
◈ 고객님의 사용 또는 일부 소비에 의하여 상품의 가치가 현저히 감소한 경우
◈ 시간의 경과에 의하여 재판매가 곤란할 정도로 상품 등의 가치가 현저히 감소한 경우
◈ 이벤트 및 사은품 등 서비스 개념으로 추가 증정된 상품의 경우
🚨Better Graft 4/16 입고 예정🚨으로,
➡️16일 주문건은
17일 바로 출고 가능합니다.
임상 전문가 박정철, 정재욱이 자신있게 권하는
Better Graft
Q1. Better Graft가 뭘까요?
Better Graft를 설명드리자면, 먼저 3차원 콜라겐 매트릭스에 대한 설명이 필요할 것 같아요.
3차원 콜라겐 매트릭스는 콜라겐 성분의 차페막으로 전세계를 평정한 제품입니다.
특히 연조직 처치에 특화된 장점을 가지고 있습니다.

문제는 가격,
높은 가격의 치과재료를 대체할 수 있는 가성비의 제품이 없을까? 라는 고민이 이어지던 중
돼지 심막을 활용한 가성비의 제품 #베러 그라프트 가 출시되게 되었습니다.
Q2. Better Graft는 무엇으로 만들어졌나요?

원래 초창기 Graft는 소의 인대에서 추출한 Collagen을 사용했습니다.
하지만, 뻣뻣한 느낌 때문에 Openhealing 에는 적합하지 않았습니다.
따라서 돼지심막을 활용하여 만들어지게 되었습니다.

Better Graft는 돼지 심막 Collagen Type 1을 이용하여 성근 조직을 의도적으로 만들었습니다.
거대한 3차원 골격을 만들었기 때문에 혈관들이 빨리 자라 들어올 수 있는 공간이 존재 합니다.
바로 연조직을 만들어 주는 좋은 멍석을 깔아준 셈입니다.
Q3. Better Graft 사이즈는 어떻게 되나요?



사이즈는 10X10 , 10X20mm 두가지 입니다.
정사각형이 모양이고 발치와에 적용할 시 살짝만 다듬어 사용해주시면 됩니다.
수화 되고 나면 손쉽게 조작이 가능해서 발치와내에 밀어 넣어 사용하면 됩니다.

단, 여기서 중요한 것은 두께!
기존 제품은 약 3mm두께 입니다. 아무래도 두껍고 조작하는데 부담이 있습니다.
이런 문제점을 극복하고자 조작성 이 가장 좋은 2.7~8mm을 출시했습니다.
조작도 편하고 오픈힐링의 치유도 빠르다는 장점 이 있습니다.
Q4. Better Graft 는 어떻게 사용되나요?

첫 번째, 치근피개술이 가능하다.
점막 하방에 넣어서 연조직의 두께와 질을 증가 시키는 방법입니다.
이것은 마치 Connective Tissue 를 이식한 것과 같은 비슷한 컨셉입니다.
#23 치아의 심한 치은 퇴축이 관찰됩니다.

Better graft를 사용하여 핀업 (Pin up) 수술로 치근피개술을 진행했습니다.

술후 4일차. 오픈 힐링 된 부분이 Better graft 입니다.
자세히 보시면 노출되어 있지만
핑크색 부분이 빠른 혈관화가 진행 되고 있는 모습입니다.

보시는 사진과 같이 불과 1주일 후, 믿어지지 않는 치은 재생이 일어납니다.
두 번째, Open healing에서 특화
두 번째 방법은 의도적으로 노출 시키는 방법입니다.

iGBR 오픈 힐링 모습입니다.

Hidden X suture 한 상태입니다.

불과 10일만에 빠른 상피화가 일어났습니다.
볼륨은 부족할 수 있지만, 이 부분은 2-3개월 뒤면 두꺼운 치은으로 재생됩니다.

조직을 통해서 살펴보면 유달리 많은 모세혈관들이 관찰 됩니다.
바로 오픈 힐링이 가능한 이유 입니다.
베러 그라프트로 들어온 빠른 혈관화들이 연조직의 빠른 재생을 돕는 거죠.
제일 많이 사용하는 indication 은 다음과 같아요!

✨수달 박정철 교수님✨ 의 [수영장] - Better Graft 케이스별 유투브
(제목 클릭하시면 유투브 영상으로 이동합니다)
🔗 1. iGBR후 상부 피개
🔗 4.치근피개술
🔗 5.각화치은증강술
배송/교환/반품 안내
구매/배송안내
※ 상품결제정보
◈ 고액결제의 경우 안전을 위해 카드사에서 확인전화를 드릴 수도 있습니다.
◈ 확인과정에서 도난 카드의 사용이나 타인 명의의 주문등 정상적인 주문이 아니라고 판단될 경우 임의로 주문을 보류 또는 취소할 수 있습니다.
◈ 무통장 입금은 상품 구매 대금은 PC뱅킹, 인터넷뱅킹, 텔레뱅킹 혹은 가까운 은행에서 직접 입금하시면 됩니다.
◈ 주문시 입력한 입금자명과 실제입금자의 성명이 반드시 일치하여야 하며, 7일 이내로 입금을 하셔야 하며 입금되지 않은 주문은 자 동취소 됩니다.
※ 배송정보
◈ 택 배 사 : 한진택배
◈ 배송 방법 : 택배 배송 지역 : 전국지역
◈ 배송 비용 : 무료
◈ 배송 기간: 3~7일
◈ 배송 안내 : 산간벽지나 도서지방은 별도의 추가금액을 지불하셔야 하는 경우가 있습니다. 고객님께서 주문하신 상품은 입금 확인 후 배송해 드립니다.
◈ 다만, 상품종류에 따라서 상품의 배송이 다소 지연될 수 있습니다.
교환/반품/환불이 가능한 경우
◈ 상품이 제공된 정보와 내용이 다른 경우, 하자/불량 또는 고객 단순 변심(미개봉 상품만 해당)의 경우, 제품 수령일 기준 7일 이내에만 교환 및 반품이 가능합니다.
단, 단순 변심으로 인한 반품/교환 시, 발생하는 배송비는 소비자 부담입니다.
◈ 교환의 경우 동일 상품으로 1:1 교환은 가능하나 다른 상품 또는 다른 사이즈로의 교환은 불가합니다.
◈ 교환/반품 진행 시, 반드시 택배 박스에 포장 후 배송 처리 부탁드립니다.
※ 다음과 같은 사유로는 교환/반품이 불가능합니다.
◈ 포장을 개봉하였거나 포장이 훼손되어 상품 가치가 상실된 경우
◈ 고객님의 사용 또는 일부 소비에 의하여 상품의 가치가 현저히 감소한 경우
◈ 시간의 경과에 의하여 재판매가 곤란할 정도로 상품 등의 가치가 현저히 감소한 경우
◈ 이벤트 및 사은품 등 서비스 개념으로 추가 증정된 상품의 경우
관련 상품



